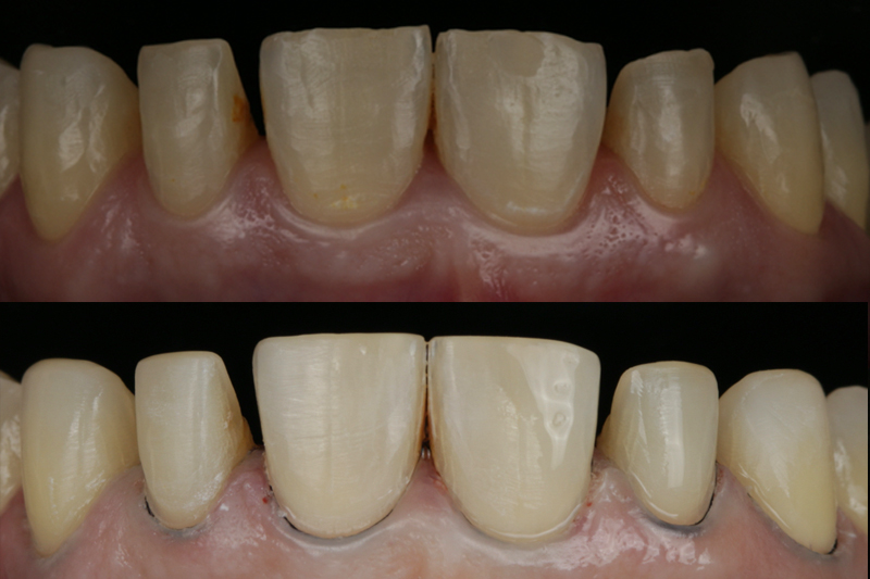
La estética dental ha evolucionado enormemente en los últimos años, y uno de los tratamientos más demandados para mejorar la sonrisa son las carillas dentales. Gracias a ellas es posible corregir el color, la forma, el tamaño e incluso pequeñas alteraciones en la posición de los dientes de manera mínimamente invasiva.
Dentro de este tratamiento existen dos grandes opciones: carillas cerámicas y carillas de composite. Aunque ambas buscan el mismo objetivo —mejorar la estética dental—, presentan diferencias importantes que conviene conocer antes de tomar una decisión. En este artículo te explicamos sus principales características, ventajas y limitaciones.

¿Qué son las carillas dentales?
Las carillas dentales son finas láminas que se colocan sobre la cara visible del diente para mejorar su apariencia. Están indicadas en casos de dientes oscurecidos, fracturados, desgastados, con diastemas (espacios entre dientes) o ligeras malposiciones.
Dependiendo del material con el que se fabrican, hablamos de carillas de composite o carillas cerámicas.
A) Carillas de composite
Las carillas de composite se realizan con una resina estética similar a la utilizada en los empastes. Generalmente se confeccionan directamente en la boca del paciente, en una sola sesión, esculpiendo el material capa a capa hasta lograr la forma y el color deseados.

Ventajas de las carillas de composite
Una de las principales ventajas de este tipo de carillas es que se trata de un tratamiento más económico que las carillas cerámicas. Además, al realizarse directamente en clínica, permiten obtener resultados inmediatos, algo muy valorado por muchos pacientes.
Otro punto a favor es que suelen ser muy poco invasivas, e incluso en algunos casos no requieren tallado dental (hoy día esto puede conseguirse también cona las carillas de cerámica) También son fácilmente reparables: si una carilla de composite se fractura o se desgasta, puede retocarse sin necesidad de sustituirla por completo.
Desventajas de las carillas de composite
A pesar de sus ventajas, las carillas de composite presentan ciertas limitaciones. Su durabilidad es menor, con una vida media de entre 5 y 7 años, dependiendo de los hábitos del paciente y del mantenimiento. Además, el composite es un material más poroso, lo que hace que con el tiempo pueda pigmentarse por el consumo de café, vino tinto o tabaco. También pierden brillo con mayor facilidad, requiriendo pulidos periódicos para mantener su aspecto estético.



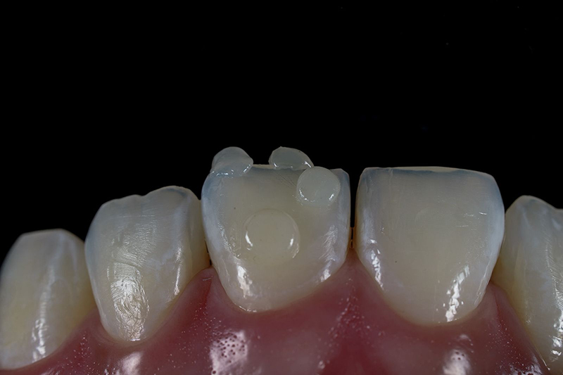
B) Carillas cerámicas
Las carillas cerámicas, por su parte, se fabrican en un laboratorio dental a medida para cada paciente, utilizando materiales cerámicos de alta calidad como la porcelana feldespática o el disilicato de litio. Posteriormente, se cementan de forma definitiva sobre el diente.

Ventajas de las carillas cerámicas
La principal ventaja de las carillas cerámicas es su excelente estética. La cerámica imita de forma muy precisa la translucidez, el brillo y el color del diente natural, ofreciendo resultados altamente sofisticados y naturales. Además, son mucho más resistentes y duraderas que las de composite, con una longevidad que puede superar los 10–15 años si se cuidan adecuadamente. Otro aspecto clave es que la cerámica es un material altamente estable, resistente a la pigmentación y al desgaste, manteniendo su color y brillo con el paso del tiempo.
Desventajas de las carillas cerámicas
Como principal inconveniente, las carillas cerámicas tienen un coste más elevado, debido al material y al trabajo de laboratorio que requieren. El tratamiento también suele necesitar al menos dos visitas: una para la planificación y preparación, y otra para la colocación definitiva.
En algunos casos es necesario realizar un ligero tallado del diente, aunque hoy en día, gracias a técnicas modernas, este tallado puede ser mínimo o incluso inexistente en determinados pacientes.

Diferencias clave entre carillas cerámicas y de composite
La elección entre un tipo u otro dependerá de múltiples factores. De forma resumida, las carillas de composite son una buena opción para tratamientos más rápidos o provisionales, mientras que las carillas cerámicas están indicadas cuando se busca un resultado más duradero, estable y de máxima estética.
También influyen factores como la posición de los dientes, la mordida, los hábitos del paciente y, por supuesto, las expectativas estéticas.
¿Cuál es la mejor opción para ti?
No existe una respuesta única. La mejor opción siempre será aquella que se adapte a tus necesidades, a tu caso clínico y a tus objetivos estéticos. Por ello, es fundamental realizar un diagnóstico personalizado, apoyado en un estudio estético y funcional de la sonrisa.
Un odontólogo especializado en estética dental podrá asesorarte y explicarte qué tipo de carilla es la más adecuada para conseguir una sonrisa natural, armónica y saludable a largo plazo.
Dr. Javier de la Torre.
“ La Firma de tu sonrisa”
